LOGO

메뉴 검색

Search

검색 닫기
  • 전체기사
  • 기후 · 에너지
  • 산업ㆍ경제
  • 기획PLUS
  • 환경 · ESG
  • Opinionㆍ칼럼
  • 홈
  • 전체기사
  • 대우건설 임직원가족, 태양광랜턴 만들어 글로벌 기부

    • 2023-05-16 02:16
    • 최기훈 기자
  • (주)한화, 올해 1분기 창사 이래 최대 경영실적 실현

    • 2023-05-16 01:30
    • 문성희 기자
  • 보해양조·하겐다즈, 바다환경 지키기 행보 ‘눈길’

    • 2023-05-15 11:00
    • 민혜정 기자
  • 오션뷰&각종 인증샷..탐앤탐스, '블랙 제주김녕점' 초대

    • 2023-05-15 08:43
    • 민경종
  • [주택동향] 서울 집값, 매매도 전세도 3주 연속 우상향

    • 2023-05-15 04:22
    • 문성희 기자
  • S-OIL, 자립준비청년 취업 지원 후원금 전달

    • 2023-05-15 03:15
    • 박진경 기자
  • DL이앤씨ㆍ메이사, 건설 분야 ‘디지털 트윈’ 구축

    • 2023-05-15 03:01
    • 최기훈 기자
  • SK온, 네쌍둥이 출산 직원에 전사적 축하 이벤트

    • 2023-05-15 02:54
    • 강민구 기자
  • ‘김유정·김우빈·김고은’ 식음료업계 새 CF ‘눈길’

    • 2023-05-13 15:18
    • 민혜정 기자
  • 개방형 ‘스위트홈 오뚜기 가족요리 페스티벌’ 눈길

    • 2023-05-13 08:38
    • 민경종
  • 동국제강 임시주총, 3개사로 분할 가결 '지주회사 체제' 구축

    • 2023-05-13 01:14
    • 문성희 기자
  • 롯데웰푸드, ‘이색 컬래버’ 앞세워 구독 서비스 강화

    • 2023-05-12 09:20
    • 민혜정 기자
  • CJ프레시웨이 1Q 실적 순항..급식·식자재 쌍끌이 견인

    • 2023-05-12 08:54
    • 민경종
  • 韓전경련·日경단련 '미래파트너쉽 기금' 진행 상황 발표

    • 2023-05-11 16:18
    • 문성희 기자
  • HD현대오일뱅크 임직원, 계단이용 등 ‘ESG 7 챌린지’ 완수

    • 2023-05-11 15:31
    • 박진경 기자
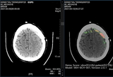
  • SK㈜ C&C 'AI 뇌출혈 영상 솔루션 효과' 국제 학술 저널 게재

    • 2023-05-11 08:48
    • 민혜정 기자
  • 바리스타·메이크업·디지털교육..재능기부 활발

    • 2023-05-11 08:28
    • 민경종
  • SK이노베이션 1Q 실적, 전분기 8천억 적자 → 4천억 흑자전환

    • 2023-05-11 00:41
    • 문성희 기자
  • 현대건설, 정주영 회장 간척지 태안에 '모빌리티 도시' 건설

    • 2023-05-10 23:11
    • 최기훈 기자
  • ‘카페’ 콜라보에 매료된 매일유업 어메이징 오트 '눈길'

    • 2023-05-10 08:26
    • 민혜정 기자
  • [외식시장]②커피전문점, 빙수시장 한판승부 '돌입’

    • 2023-05-10 08:06
    • 민경종
  • DL이앤씨, 가정의 달 맞아 임직원 가족 초청행사 개최

    • 2023-05-10 04:28
    • 박진경 기자
  • S-OIL, 새 CEO에 안와르 알 히즈아지 선임

    • 2023-05-10 04:11
    • 강민구 기자
  • 동서식품, 고용노동부와 안전문화 확산 협약 체결

    • 2023-05-09 09:25
    • 민혜정 기자
  • 이전글
  • 99 / 647
  • 다음글

실시간 인기기사

  • 1 승승장구 효성중공업, 美서 수주 잭팟...올해 최대 실적 ‘청신호’
  • 2 [e칼럼] ‘냉혹한 에너지 현실주의’속 LNG의 전략적 가치
  • 3 2년 연속 영업적자 한화솔루션, 올해 흑자 가능성과 키 포인트는?
  • 4 [황의 e법칙] “판단 멈추면 종말”…ESG 핵심위험이 된 AI, 알고리즘 감사 필수
  • 5 멸균팩재활용·녹색인증비닐·전자영수증...친환경 '잰걸음’
  • 섹션별 최근기사
  • 섹션별 인기기사
  • 기후 · 에너지한국항공대, 무탄소 가스터빈 국가 R&D 맡는다
  • 산업ㆍ경제K-방산 수출이 순조로울까?…미국의 어깃장 감지돼
  • 기획PLUS2년 연속 영업적자 한화솔루션, 올해 흑자 가능성과 키 포인트는?
  • 환경 · ESG멸균팩재활용·녹색인증비닐·전자영수증...친환경 '잰걸음’
  • Opinionㆍ칼럼[황의 e법칙] “판단 멈추면 종말”…ESG 핵심위험이 된 AI, 알고리즘 감사 필수
  • 기후 · 에너지2년 연속 영업적자 한화솔루션, 올해 흑자 가능성과 키 포인트는?
  • 산업ㆍ경제K-방산 수출이 순조로울까?…미국의 어깃장 감지돼
  • 기획PLUS2년 연속 영업적자 한화솔루션, 올해 흑자 가능성과 키 포인트는?
  • 환경 · ESG멸균팩재활용·녹색인증비닐·전자영수증...친환경 '잰걸음’
  • Opinionㆍ칼럼[황의 e법칙] “판단 멈추면 종말”…ESG 핵심위험이 된 AI, 알고리즘 감사 필수
맨 위로 홈
PC버전으로 보기

Array

Powered by MediaOn

LOGO

로그인 창닫기
  • 전체기사
  • 기후 · 에너지
    • 기후 · 에너지 전체
    • 기후/에너지 정책
    • 전기차ㆍ수소차
    • 신재생/전력
  • 산업ㆍ경제
    • 산업ㆍ경제 전체
    • 유통식품
    • 산업ㆍ경제
    • 방산
    • 식량
  • 기획PLUS
    • 기획PLUS 전체
    • 기획
    • Research & Review
  • 환경 · ESG
    • 환경 · ESG 전체
    • 환경
    • 기업
    • 라이프
    • 피플
  • Opinionㆍ칼럼
    • Opinionㆍ칼럼 전체
    • 칼럼
PC버전으로 보기

Array

공유하기
Close
  • 페북
  • 트윗
  • 카톡
  • 라인
  • 네이버 블로그
  • 밴드
https://www.entropytimes.co.kr/mobile/article_list_all.html?page=99 url복사